A. IDENTITAS PASIEN
Nama : Ny.A
Jenis kelamin : Perempuan
Umur : 69 tahun
Pekerjaan : Petani
Alamat : Candi Sidomulyo RT 4, RW 5, Secang, Kabupaten Magelang
Tanggal masuk : 22 Desember 2016
B. KASUS
Seorang perempuan usia 44 tahun datang ke instalasi bagian radiologi
RSUD untuk melakukan pemeriksaan rontgen thorax.
Pasien merupakan pasien rawat inap bangsal penyakit dalam di RSUD. Dokter menulis klinis pasien: efusi pleura post pungsi.
Pasien telah melakukan pemeriksaan rontgen thorax sebelumnya dengan
kesan cardiomegali dengan edema pulmonum dan effusi pleura dextra.
C. ANAMNESIS
1. Keluhan Utama
Sesak napas dan perut bengkak.
2. Riwayat Penyakit Sekarang
Pasien datang ke RSUD dengan keluhan sesak napas
sejak 2 minggu yang lalu, disertai perut dan ekstremitas bengkak.
Pasien pernah memeriksakan ke Puskesmas, membaik namun keluhan muncul
lagi. Mual (-), muntah (-), pusing (-).
3. Riwayat Penyakit Dahulu
Riwayat penyakit dahulu yang sama disangkal.
Riwayat hipertensi (-), diabetes mellitus (-), hepatitis (-)
4. Riwayat Penyakit Keluarga
Riwayat penyakit yang sama dalam keluarga : disangkal
Riwayat sakit jantung : disangkal
Riwayat hipertensi : disangkal
Riwayat Diabetes Melitus : disangkal
5. Riwayat Psikososial
Merokok (-), tidak olahraga teratur.
D. PEMERIKSAAN FISIK
1. Keadaan Umum : Lemah
2. Kesadaran : Compos Mentis
3. Vital Sign
a. TD : 120/70 mmHg
b. Nadi : 93 kali/menit
c. RR : 20 kali/menit
d. Suhu : 36.6ºC
e. VAS : 5
4. Kepala: Mesocephal, tidak teraba benjolan,
distribusi rambut putih, merata dan mudah dicabut.
5. Mata
a. Kelopak mata : Edema (-)
b. Konjungtiva : Anemis (-/-)
c. Sklera : Ikterus (-)
d. Kornea : Jernih
e. Pupil : Bulat, isokor
6. Leher : Pembesaran tonsil (-),
kaku kuduk (-), massa (-), nyeri tekan (-), pembesaran KGB (-)
7. Thorax
a. Inspeksi : Ketertinggalan gerak (-)
b. Palpasi : Kembang paru (i/+), vokal fremitus menurun
c. Perkusi : Redup mulai SIC 6
d. Auskultasi : Egofoni (+)
8. Jantung
a. Inspeksi : Ictus kordis tampak
b. Palpasi : Ictus kordis teraba
c. Perkusi : Redup (+)
d. Batas jantung: Membesar
e. Auskultasi : Gallop S3
9. Abdomen:
a. Inspeksi : Edema (+)
b. Auskultasi : Bunyi peristaltik (-)
c. Palpasi : NT (-), supel, undulasi (+)
d. Perkusi : Redup (+)
10. Ekstremitas:
a. Edema ekstremitas ()
b. Pitting edema (+)
c. Fraktur (-)
E. PEMERIKSAAN PENUNJANG
1. Patologi Klinik
a. Darah Rutin
1) Hemoglobin : 11,5g/dl
2) Leukosit : 5,7*103/uL
3) Eritrosit : 4*106/uL
4) Hematokrit : 36,8% (L)
5) Trombosit : 189*103/uL
b. Gula darah sewaktu: 111mg/dL
c. Elektrolit
Natrium : 147mEq/L (H)
Kalium : 3,74mEq/L
Chlorida : 103mmol/L
d. Faal Ginjal
Ureum : 80,0mg/dL (H)
Kreatinin : 0,74mg/dL
e. Faal Hati
Protein total : 6,40mg/dL (L)
Albumin : 2,20g/dL (L) tanggal 22 Desember 2016
2,72g/dL (L) tanggal 29 Desember 2016
Globulin : 4,20mg/dL (H)
SGOT : 19,0U/L
SGPT : 11,0U/L
f. Analisis Urin tanggal 24 Desember 2016
1) Warna : Kuning
2) Kekeruhan : Keruh
3) Keasaman : 5,0 (L)
4) Protein urin : +1 (H)
5) Leukosit urin : 500/uL (H)
6) Blood urin : 250/uL (H)
7) Bakteri urin : ++++ (H)
g. Lemak tanggal 24 Desember 2016
1) Kolesterol : 99mg/dL
2) Trigliserida : 80mg/dL
3) HDL Kolesterol : 32mg/dL (L)
4) LDL Kolesterol : 40mg/dL
2. Rontgen Thorax (23 Desember 2016)
a. Foto thorax posisi AP
b. Kondisi film baik
c. Film meliputi seluruh cavum thoraks mulai dari puncak cavum thoraks
sampai sinus phrenicocostalis kanan kiri.
d. Sistem tulang : tulang-tulang yang tervisualisasi intak
e. Cor : membesar (CTR>0,5)
f. Pulmo : kesuraman parahiler
g. Sinus dextra tumpul.
Kesan
: Kardiomegali dengan edema pumonum. Effusi pleura dextra.
3. Rontgen Thorax (30 Desember 2016) post pungsi
pleura
Kesan:
Dibanding foto lama: effusi pleura dextra berkurang
F. ASSESSMENT
1. Edema anasarka: CHF
2. Efusi pleura dextra
3. Hipoalbumin
4. GNA (ISK)
G. PENATALAKSANAAN
1. Oksigenasi
2. Infus D5%
3. Omeprazole
4. Spironolacton 1X1
5. KSR 3X1
6. Farsix
7. Vip albumin 3X1
8. Ceftriaxon 1X1
9. Pungsi pleura.
TINJAUAN PUSTAKA
A. DEFINISI
Kardiomegali adalah pembesaran abnormal jantung. Pada foto thorax PA
didapatkan lebar maksimum bayangan jantung lebih besar dari 50% dari
lebar internal maksimal thorax. Penyebab kardiomegali adalah dilatasi
dan hipertrofi otot jantung. Edema paru adalah akumulasi cairan di
paru-paru akibat peningkatan tekanan intravaskular. Edema paru terjadi
oleh karena adanya aliran cairan dari darah ke ruang intersisial paru
yang selanjutnya ke alveoli paru,melebihi aliran cairan kembali ke
darah atau melalui saluran limfatik. Edema paru dibedakan oleh karena
sebab kardiogenik dan nonkardiogenik. Akumulasi berlebih cairan pleura
hingga 300 mL disebut sebagai efusi pleura, terjadi akibat pembentukan
cairan pleura melebihi kemampuan eliminasi cairan pleura. Kardiomegali,
edema paru dan efusi pleura termasuk dalam kriteria penegakan diagnosis
gagal jantung kongestif.
B. PATOGENESIS
Mekanisme yang mendasari pembentukan cairan transudat efusi pleura pada
pasien gagal jantung kongestif telah diketahui. Pada keadaan normal ada
sejumlah kecil cairan dalam ruang pleura yang berasal dari cabang
sirkulasi sistemik yang mendarahi pleura parietal. Protein kecil,
berasal dari kapiler atau pembuluh darah kecil, menembus membran pleura
parietal menuju ruang pleura, biasanya tidak ada cairan yang berasal
dari paru dan masuk ke rongga pleura melalui pleura viseral.
Sebaliknya, sebagian cairan dalam rongga pleura dibuang melalui pleura
viseral. Jalan penting lain, khususnya untuk partikel, sel, protein,
dan kelebihan cairan (bila terjadi) adalah saluran limfe, dari kavum
pleura melewati stomata (lubang kecil yang hanya terdapat pada pleura
parietal.
Cairan yang terkumpul dalam rongga pleura pasien gagal jantung
kongestif berasal dari paru, dan pembentukannya dipengaruhi oleh
tekanan hidrostatik dan onkotik yang berakibat terjadi filtrasi
menembus kapiler pada sirkulasi paru. Saat tekanan pengisian ventrikel
kiri meningkat, tekanan hidrostatik kapiler pulmonal juga meningkat
sehingga filtrasi cairan dalam paru ikut meningkat. Efusi pleura yang
terjadi merupakan akhir dari evolusi yang didasari penyakit jantung
(setelah onset gagal jantung kongestif). Penelitian pada pasien gagal
jantung kongestif yang dirawat, rerata tekanan baji arteri pulmonal
sebesar 24 + 1 mmHg pada 19 pasien didapatkan efusi pleura
(dengan sonografi) dibandingkan dengan 17 + 2 mmHg pada 18
pasien tanpa efusi pleura (p < 0,01).
Beberapa faktor melindungi paru agar tidak terjadi edema paru dengan
cara pertukaran gas. Namun bila mekanisme tidak mampu, cairan mulai
terkumpul, awalnya pada ruang interstisial peribronkovaskuler besar dan
pada tahap akhir di alveoli. Tidak ada yang tahu dengan pasti kapan,
selama edema paru memburuk, cairan dalam paru mulai keluar dari paru
menembus rongga pleura. Berdasarkan eksperimen pada paru yang secara
progresif dibuat edema, tampaknya perlu waktu untuk terjadi kebocoran
paru, berarti rongga interstisial peribronkovaskuler paling tidak
sebagiah penuh dulu dengan cairan sebelum cairan tersebut merembes dari
rongga interstisial subpleura menuju kavum pleura.
Efusi pleura kardiogenik merupakan edema paru yang bocor ke rongga
pleura, merupakan mekanisme paru untuk membersihkan dirinya dari
akumulasi cairan. Dengan kata lain, perpindahan cairan ke dalam rongga
pleura akan mencegah berkumpulnya cairan ke dalam alveoli sehingga
pertukaran gas tetap terjadi.
Protein dalam sampel cairan pleura pasien gagal ginjal kongestif
kadarnya rendah, namun tidak serendah pada cairan pleura normal.
Pengukuran pada binatang percobaan, kadar protein pada cairan edema
paru, cairan rongga pleura dan cairan limfe daerah paru ternyata
identik. Hasil tersebut menguatkan keyakinan bahwa efusi pleura pada
pasien gagal jantung kongestif terjadi karena perpindahan cairan dari
paru (yang mengalami edema paru) menuju rongga pleura.
Adanya hipoalbuminemia seperti sindrom nefrotik, malabsorbsi atau
keadaan lain dengan asites serta edeme anasarka juga akan mengakibatkan
efusi pleura. Efusi terjadi rendahnya tekanan osmotik protein cairan
pleura dibandingkan dengan tekanan osmotik darah. Efusi yang terjadi
kebanyakan bilateral dan cairan bersifat transudat.
C. MANIFESTASI KLINIK
1. Keluhan
a. Sesak pada saat beraktifitas (dyspneu d’effort)
b. Gangguan napas pada perubahan posisi (ortopneu)
c. Sesak napas malam hari (paroxysmal nocturnal dyspneu)
Keluhan tambahan: lemas, mual, muntah dan gangguan mental pada orangtua
2. Pemeriksaan Fisik:
a. Peningkatan tekanan vena jugular
b. Frekuensi pernapasan meningkat
c. Frekuensi nadi dan regularitasnya
d. Tekanan darah
e. Kardiomegali
f. Gangguan bunyi jantung (gallop)
g. Ronkhi pada pemeriksaan paru
h. Hepatomegali
i. Asites
j. Edema perifer
b. Frekuensi pernapasan meningkat
c. Frekuensi nadi dan regularitasnya
d. Tekanan darah
e. Kardiomegali
f. Gangguan bunyi jantung (gallop)
g. Ronkhi pada pemeriksaan paru
h. Hepatomegali
i. Asites
j. Edema perifer
3. Pemeriksaan penunjang esential
a. Rontgen thoraks (kardiomegali, gambaran edema paru/alveolar edema/ butterfly appearance)
b. EKG (hipertrofi ventrikel kiri, atrial fibrilasi, perubahan
gelombang T, dan gambaran abnormal lainnya.
4. Penegakan Diagnosis
Berdasarkan studi Framingham, diagnosis gagal jantung kongestif
ditegakkan apabila diperoleh paling sedikit satu kriteria mayor dan dua
kriteria minor.
a. Kriteria Mayor
1) Dispnea/orthopnea Nocturnal Parkosismal
2) Distensi vena leher
3) Ronki
4) Kardiomegali
5) Edema pulmonary akut
6) Gallop-S3
7) Peningkatan tekanan vena (>16 cmH2O)
8) Waktu sirkulasi > 25 detik
9) Refluks hepatojugularis
b. Kriteria Minor
1) Edema pretibial
2) Batuk malam
3) Dispnea saat aktivitas
4) Hepatomegali
5) Efusi pleura
6) Kapasitas vital paru menurun 1/3 dari maksimal
7) Takikardia (>120 kali/menit)
c. Kriteria Mayor atau Minor
Penurunan berat badan > 4.5 Kg dalam 5 hari
1) Dispnea/orthopnea Nocturnal Parkosismal
2) Distensi vena leher
3) Ronki
4) Kardiomegali
5) Edema pulmonary akut
6) Gallop-S3
7) Peningkatan tekanan vena (>16 cmH2O)
8) Waktu sirkulasi > 25 detik
9) Refluks hepatojugularis
b. Kriteria Minor
1) Edema pretibial
2) Batuk malam
3) Dispnea saat aktivitas
4) Hepatomegali
5) Efusi pleura
6) Kapasitas vital paru menurun 1/3 dari maksimal
7) Takikardia (>120 kali/menit)
c. Kriteria Mayor atau Minor
Penurunan berat badan > 4.5 Kg dalam 5 hari
5. Klasifikasi
New York Heart Association
membagi klasifikasi Gagal Jantung Kongestif berdasarkan tingkat keparahan
dan keterbatasan aktivitas fisik:
a. Kelas I: Tidak ada keterbatasan dalam aktivitas fisik. Aktivitas fisik
tidak menyebabkan sesak nafas, fatigue, atau palpitasi.
b. Kelas II: Sedikit mengalami keterbatasan dalam aktivitas fisik. Merasa
nyaman saat beristirahat tetapi saat melakukan aktivitas fisik mulai
merasakan sedikit sesak, fatigue, dan palpitasi
c. Kelas III: Mengalami keterbatasan dalam aktivitas fisik. Merasa nyaman
saat istirahat namun ketika melakukan aktivitas fisik yang sedikit saja
sudah merasa sesak, fatigue, dan palpitasi.
d. Kelas IV: Tidak bisa melakukan aktivitas fisik. Saat istirahat gejala
bisa muncul dan jika melakukan aktivitas fisik maka gejala akan meningkat.
D. PEMERIKSAAN RADIOLOGIK
Foto toraks merupakan komponen penting dalam diagnosis gagal jantung.
Rontgen toraks dapat mendeteksi kardiomegali, kongesti paru, efusi pleura
dan dapat mendeteksi penyakit atau infeksi paru yang menyebabkan atau
memperberat sesak nafas. Kardiomegali dapat tidak ditemukan pada gagal
jantung akut dan kronik.
Tabel 1. Abnormalitas Foto Toraks yang Umum Ditemukan pada Gagal
Jantung
Abnormalitas
|
Penyebab
|
Implikasi klinis
|
| Kardiomegali | Dilatasi ventrikel kiri, ventrikel kanan, atria, efusi perikard | Ekokardiograf, doppler
|
| Hipertrofi ventrikel | Hipertensi, stenosis aorta, kardiomiopati, hipertrofi | Ekokardiografi, doppler
|
| Tampak paru normal | Bukan kongesti paru | Nilai ulang diagnosis |
| Kongesti vena paru | Peningkatan tekanan pengisian ventrikel kiri | Mendukung diagnosis gagal jantung kiri |
| Edema interstisial | Peningkatan tekanan pengisian ventrikel kiri | Mendukung diagnosis gagal jantung kiri |
| Efusi pleura | Gagal jantung dengan peningkatan tekanan pengisian jika
efusi bilateral
Infeksi paru, pasca bedah/keganasan |
Pikirkan etologi nonkardiak (jika efusi banyak)
|
| Garis Kerley B | Peningkatan tekanan limfatik | Mitral stenosis/gagal jantung kronik |
| Area paru hiperlusen | Emboli paru atau emfsema | Pemeriksaan CT, spirometri, ekokardiografi |
| Infeksi paru | Pneumonia sekunder akibat kongesti paru | Tatalaksana kedua penyakit: gagal jantung dan infeksi paru |
| Infltrat paru | Penyakit sistemik | Pemeriksaan diagnostik lanjutan |
Pada foto dada PA standar, ukuran jantung dapat dihitung melalui rasio
kardiotorasik. Secara umum, rasio yang melebihi 50% antara ukuran jantung
dengan diameter internal maksimal dada mengindikasikan adanya pembesaran
jantung. Pengukuran ini hanya merupakan perkiraan dan berguna pada
pengukuran serial. Ekokardiografi lebih akurat dalam menilai ruang jantung
tertentu dan ukuran jantung.mPembesaran ruang jantung tertentu sulit untuk
diidentifikasi melalui film polos dada, walaupun film polos dada dapat
menunjukkan hal-hal berikut:
a. Atrium kiri: satu-satunya ruang jantung yang dapat didiagnosis jika
terjadi pembesaran; kelainan ini dapat terlihat sebagai kontur ganda pada
tepi kanan jantung, membuat karina menjadi miring dengan terjadi
perpindahan bronkus utama kiri ke arah atas atau penonjolan ruang jantung
ke posterior pada sinar-X dada lateral.
b. Atrium kanan: tepi kanan jantung yang terlihat jelas.
c. Ventrikel kanan: pergeseran ke atas dari apeks jantung dengan pembesaran
tepi jantung ke bagian anterior pada proyeksi lateral
d. Ventrikel kiri: meningkatnya kecembungan pada tepi kiri jantung dan
apeks jantung tampak tenggelam.
Ukuran jantung pada kardiomegali diukur dengan membandingkan diameter jantung (a+b) dengan diameter internal maksimal dada
Edema pulmo dibagi menjadi dua, yaitu
a) Edema pulmonal interstisial: pada awalnya, merupakan penonjolan pembuluh
darah pada lobus atas dan penyempitan pembuluh darah pada lobus bawah.
Seiring meningkatnya tekanan vena, terjadi edema interstisial dan cairan
kemudian berkumpul di daerah interlobular dengan garis septal di bagian
perifer (garis Kerley ‘B’)
b) Edema pulmonal alveolus. Dengan semakin meningkatnya tekanan vena,
cairan melewati rongga alveolus (bayangan alveolus) dengan kekaburan dan
gambaran berkabut pada regio perihilar; pada kasus yang berat, terjadi
edema pulmonal di seluruh kedua lapangan paru. Sepertiga bagian luar paru
dapat terpisah, edema sentral bilateral digambarkan sebagai ‘ bat’s wing’ (sayap kelelawar).
a. Foto Polos Thorax
Secara radiologi edema paru dapat dibagi atas:
1) Edema paru interstisial pada dekompensasi jantung kiri atau kelainan
katup mitral
2) Proses intra-alveolaris yang banyak berhubungan dengan kegagalan jantung
akut atau uremia
3) Baik bentuk interstisial maupun bentuk intra-alveolaris dapat terjadi
bersamaan
4) Bentuk milier banyak dihubungkan dengan infeksi akut
Gambaran radiologi yang terjadi dibagi atas:
1) Garis Kerley A
Garis panjang yang menyebar dari hilus ke perifer. Penyebabnya belum
diketahui apakah disebabkan oleh edema interlobaris dimana terdapat cairan
akibat bendungan pembuluh limfe. Garis Kerley A yang panjangnya beberapa
sentimeter terdapat pada edema paru interstisial.
2) Garis Kerley B
Berbeda dengan Kerley A, garis ini berasal dari perifer paru, multipel, dan
berjalan sejajar. Garis ini berkumpul di septa interlobaris kemudian
mengalami penebalan, dimana mungkin disebabkan oleh proses fibrosis,
berkumpulnya cairan, atau berkumpulnya debris. Pigmen Kerley B berkumpul di
bagian anterolateral dari lobus medialis
3) Garis Kerley C
Berbentuk seperti sarang laba-laba yang disebabkan oleh dilatasi dari
pembuluh limfe paru. Jaringan ikat yang terletak di sentral paru akan
bertumpuk dan menebal sehingga memberikan gambaran Kerley C ini.
4) Kabut Perihilus
Hilangnya kejelasan batas hilus diakibatkan oleh karena cairan atau
pembengkakan kelenjer
5) Edema subpleura
6) Tampak sebagai penebalan fisura interlobaris
a) Pertama-tama timbul dalam bentuk bayangan kupu-kupu ( butterfly shadow) dengan batas yang tidak jelas pada hilus
b) Pada bentuk konsolidasi, seperti pneumonia atau infark paru. Berbeda
dengan infiltrat atau pneumonia, reaksinya cepat menghilang atau berubah
dengan pemberian diuretik
Edema paru interstisial maupun intraalveolaris adalah bentuk radiologi yang
klasik dari edema paru. Perbedaan dari keduanya adalah edema paru
interstisial selalu terjadi lebih dahulu sebelum edema paru intra
alveolaris terjadi dan edema paru interstisial lebih lambat hilangnya
dibanding yang intraalveolaris. Edema paru intra alveolaris mudah hilang
berasarkan gravitasi tubuh dan pengobatannya adalah dengan diuretik. Pada
edema paru interstisial terdapat garis Kerley A dimana sering akut akibat
kenaikan tekanan vena yang mendadak tinggi. Walaupun secara teoritis edema
paru interstisial dan intraalveolaris dapat dibedakan, namun pada serangan
akut dari kegagalan ventrikel kiri kedua bentuk ini sulit untuk dibedakan.
Beberapa tanda yang dapat digunakan sebagai penyebab terjadinya edema paru
antara lain adalah pelebaran dari vena di lobus superior yang tidak tampak
dalam keadaan normal, tampak dua pembuluh vena yang lebarnya beberapa
sentimeter, kabut perihilus, garis Kerley A, garis Kerley B, dan garis
Kerley C, vaskuler hazy line, kemudian pada stadium dekompensasi barulah
terjadi tanda-tanda buffer pattern.
Gambar
1. Edema paru berat karena pemberian cairan intravenous yang
berlebihan.bisa juga terjadi akibat kegagalan jantung atau gimjal,
obat-obatan dan malaria. 2. Penderita yang sama pada hari berikutnya
setelah diberi diuretik dan dilakukan pembatasan cairan. 3. Penderita
yang sama satu minggu kemudian. Adanya perubahan yang cepat dan respon
yang segera terhadap pengobatan merupakan ciri khas edema
CT-Scan resolusi tinggi dapat menunjukkan konsolidasi wilayah udara luas,
yang mungkin memiliki distribusi yang dominan di daerah paru-paru. Sebuah
pola retikuler dengan distribusi anterior mencolok sering ditemuin pada
CT-Scan pada penderita ARDS, hal ini terkait dengan durasi
tekanan-dikendalikan
ventilasi, invers-rasio.
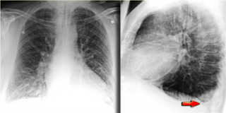
3. Efusi pleura
Efusi pleura terlihat sebagai penumpulan sudut kostofrenikus, namun dengan
semakin meluasnya efusi, terdapat gambaran opak yang homogen di bagian
basal dengan tepi atas yang cekung. Efusi pleura bilateral terdapat pada
70% dari kasus CHF. Harus ada setidaknya 175 ml cairan pleura, sebelum akan
terlihat pada gambar PA sebagai meniskus di sudut kostofrenikus. Pada
gambar lateral, efusi >75 ml bisa terlihat. Jika efusi pleura terlihat
pada film dada terlentang, itu berarti ada setidaknya 500 ml cairan pleura.
a. Foto Polos Thoraks
1) Posisi tegak posteroanterior (PA)
Pada pemeriksaan foto thorak rutin tegak, cairan pleura tampak berupa
perselubungan homogen menutupi struktur paru bawah yang biasanya relative
radioopak dengan permukaan atas cekung berjalan dari lateral atas ke medial
bawah. Karena cairan mengisi ruang hemithorak sehingga jaringan paru akan
terdorong ke arah sentral/hilus, dan kadang-kadang mendorong mediastinum
kearah kontralateral.
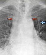
Gambar Efusi pleura sinistra. Sudut costophrenicus yang tumpul karena
efusi pleura
|
|
Gambar Loculated pleural effusion. Tampak berbatas cukup tegas dan biconvex. Sering disebabkan oleh empiema dengan perlekatan pleura
Bila cairan kurang dari 250ml (100-200ml), dapat ditemukan pengisian cairan
di sudut costofrenikus posterior pada foto thorak lateral tegak. Pada
penelitian mengenai model roentgen patologi Collins menunjukkan bahwa
sedikitnya 25ml dari cairan pleura (cairan saline yang disuntikkan) pada
radiogram dada lateral tegak lurus dapat dideteksi sebagai akumulasi cairan
subpulmonic di posterior sulcus costophrenic, tetapi hanya dengan adanya
pneumoperitoneum yang terjadi sebelumnya.
3) Posisi Lateral Decubitus
Radiografi dada lateral decubitus digunakan selama bertahun-tahun untuk
mendiagnosis efusi pleura yang sedikit. Cairan yang kurang dari 100ml
(50-100ml), dapat diperlihatkan dengan posisi lateral dekubitus dan arah
sinar horizontal dimana caran akan berkumpul disisi samping bawah.
|
|
b. Computed Tomography Scan
CT scan dada akan terlihat adanya perbedaan densitas cairan dengan jaringan
sekitarnya. Pada CT scan, efusi pleura bebas diperlihatkan sebagai daerah
berbentuk bulan sabit di bagian yang tergantung dari hemithorax yang
terkena. Permukaan efusi pleura memiliki gambaran cekung ke atas karena
tendensi recoil dari paru-paru. Karena kebanyakan CT pemeriksaan dilakukan
dalam posisi terlentang, cairan mulai menumpuk di posterior sulkus
kostofrenikus. Pada efusi pleura yang banyak, cairan meluas ke aspek apikal
dan anterior dada dan kadang-kadang ke fisura tersebut. Dalam posisi
tengkurap atau lateral, cairan bergeser ke aspek yang tergantung dari
rongga pleura. Pergeseran ini menegaskan sifat bebas dari efusi tersebut.
c. Ultrasonografi
Penampilan khas dari efusi pleura merupakan lapisan anechoic antara pleura
visceral dan pleura parietal. Bentuk efusi dapat bervariasi dengan
respirasi dan posisi. Para peneliti memperkenalkan metode pemeriksaan USG
dengan apa yang disebut sebagai “elbow position”. Pemeriksaan ini
dimulai dengan pasien diletakkan pada posisi lateral decubitus selama 5
menit (serupa dengan radiografi dada posisi lateral decubitus) kemudian
pemeriksaan USG dilakukan dengan pasien bertumpu pada siku. Maneuver ini
memungkinkan kita untuk mendeteksi efusi subpulmonal yang sedikit, karena
cairan cenderung akan terakumulasi dalam pleura diaphragmatic pada posisi
tegak lurus.
Gambar Posisi siku dengan meletakkan transduser selama pemeriksaan untuk melihat keadaan rongga pleura kanan.
Ultrasonografi pada pleura dapat menentukan adanya cairan ronggapleura.
Pada dekade terakhir ultrasonografi (USG) dari rongga pleura menjadi metode
utama untuk mendemonstrasikan adanya efusi pleura yang sedikit. Kriteria
USG untuk menentukan efusi pleura adalah: setidaknya zona anechogenic
memiliki ketebalan 3mm diantara pleura parietal dan visceral dan atau
perubahan ketebalan lapisan cairan antara ekspirasi dan inspirasi, dan juga
perbedaan letak posisi pasien. Karena USG adalah metode utama maka
sangatlah penting untuk melakukan pengukuran sonografi dengan pemeriksaan
tegak lurus terhadap dinding dada.
Gambaran anechoic terutama diamati pada transudat. Dalam sebuah penelitian
terhadap 320 pasien dengan efusi, transudat memberikan gambaran anechoic,
sedangkan efusi anechoic dapat transudat atau eksudat. Adanya penebalan
pleura dan lesi parenkim di paru-paru menunjukkan adanya eksudat. Cairan
pleura yang memberikan gambaran echoic dapat dilihat pada efusi hemoragik
atau empiema.
Doppler berwarna ultrasonografi dapat membantu dalam membedakan efusi kecil
dari penebalan pleura dengan menunjukkan tanda-warna cairan (yaitu, adanya
sinyal warna dalam pengumpulan cairan).
d. Magnetic Resonance Imaging ( MRI)
MRI dapat membantu dalam mengevaluasi etiologi efusi pleura. Nodularity
dan/atau penyimpangan dari kontur pleura, penebalan pleura melingkar,
keterlibatan pleura mediastinal, dan infiltrasi dari dinding dada dan/atau
diafragma sugestif penyebab ganas kedua pada CT scan dan MRI.
4.
Manifestasi Gambaran Foto Thoraks Berdasarkan Stages Gagal Jantung
Kongestif
|
|
|||
|
|
|||
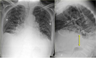
Stage III-Alveolar edema.
Prominent vena azygos dan peningkatan pelebaran pedikel
vaskuler (anak panah merah); konsolidasi perihilar dan
bronkogram-udara (anak panah kuning); cairan pleura
(anak panah biru); bayangan
jantung membesar (kepala panah merah)
|
|||
1. Modifikasi gaya hidup:
a. Pembatasan asupan cairan maksimal 1,5 liter (ringan), maksimal 1 liter (berat)
b. Pembatasan asupan garam maksimal 2 gram/hari (ringan), 1 maksimal gram (berat)
c. Berhenti merokok dan konsumsi alkohol
2. Aktivitas fisik:
a. Pada kondisi akut berat: tirah baring
b. Pada kondisi sedang atau ringan: batasi beban kerja sampai 70% s.d. 80%
dari denyut nadi maksimal (220/umur)
3. Penatalaksanaan farmakologi:
a. Pada gagal jantung akut:
1) Terapi oksigen 2-4 ltr/mnt
2) Pemasangan iv line untuk akses dilanjutkan dengan pemberian furosemid
injeksi 20 s/d 40 mg bolus.
3) Cari pemicu gagal jantung akut.
4) Segera rujuk.
b. Pada gagal jantung kronik:
1) Diuretik: diutamakan Lup diuretik (furosemid) bila perlu dapat
dikombinasikan Thiazid (HCT), bila dalam 24 jam tidak ada respon rujuk ke
Layanan Sekunder.
2) ACE Inhibitor (ACE-I) atau Angiotensine II receptor blocker
(ARB) mulai dari dosis terkecil dan titrasi dosis sampai tercapai dosis
yang efektif dalam beberapa minggu. Bila pengobatan sudah mencapai dosis
maksimal dan target tidak tercapai, dirujuk.
3) Beta Blocker (BB): mulai dari dosis terkecil dan titrasi dosis sampai
tercapai dosis yang efektif dalam beberapa minggu. Bila pengobatan sudah
mencapai dosis maksimal dan target tidak tercapai, dirujuk.
Digoxin diberikan bila ditemukan fibrilasi atrial untuk menjaga denyut nadi
tidak terlalu cepat.
4. Konseling dan Edukasi
a. Edukasi tentang penyebab dan faktor risiko penyakit gagal jantung
kronik. Penyebab gagal jantung kronik yang paling sering adalah tidak
terkontrolnya tekanan darah, kadar lemak atau kadar gula darah.
b. Pasien dan keluarga perlu diberitahu tanda-tanda kegawatan
kardiovaskular dan pentingnya untuk kontrol kembali setelah pengobatan di
rumah sakit.
c. Patuh dalam pengobatan yang telah direncanakan.
d. Menjaga lingkungan sekitar kondusif untuk pasien beraktivitas dan
berinteraksi.
e. Melakukan konferensi keluarga untuk mengidentifikasi faktor-faktor
pendukung dan penghambat penatalaksanaan pasien, serta menyepakati bersama
peran keluarga pada masalah kesehatan pasien.
5. Kriteria Rujukan
Pasien dengan gagal jantung harus dirujuk ke fasilitas pelayanan kesehatan
sekunder yang memiliki dokter spesialis jantung atau Sp. Penyakit Dalam
untuk perawatan maupun pemeriksaan lanjutan seperti ekokardiografi. Pada
kondisi akut, dimana kondisi klinis mengalami perburukan dalam waktu cepat
harus segera dirujuk Layanan Sekunder (Sp.Jantung/Sp.Penyakit Dalam) untuk
dilakukan penanganan lebih lanjut.
F. PROGNOSIS
Prognosis tergantung dari berat ringannya penyakit. Komplikasi CHF:
1. Tromboemboli adalah risiko terjadinya bekuan vena (thrombosis vena dalam
atau deep venous thrombosis dan emboli paru atau EP) dan emboli
sistemik tinggi, terutama pada CHF berat. Bisa diturunkan dengan pemberian
warfarin.
2. Komplikasi fibrilasi atrium sering terjadi pada CHF yang bisa
menyebabkan perburukan dramatis. Hal tersebut indikasi pemantauan denyut
jantung (dengan digoxin atau β blocker dan pemberian warfarin).
3. Kegagalan pompa progresif bisa terjadi karena penggunaan diuretik dengan
dosis ditinggikan.
4. Aritmia ventrikel sering dijumpai, bisa menyebabkan sinkop atau sudden cardiac death (25-50% kematian CHF). Pada pasien yang
berhasil diresusitasi, amiodaron, β blocker, dan vebrilator yang ditanam
mungkin turut mempunyai peranan.
Chowdhury, R., Wilson, I., Rofe, C., dkk. Radiology at a Glance. 2010.
Wiley-Blackwell Publishing: Singapore.
Dickstein K, Cohen-Solal A, Filippatos G, et al. ESC Guidelines for the
diagnosis and treatment of acute and chronic heart failure 2008. Eur Heart
J 2008;29:2388–442.
European Society of Cardiology (ESC), 2012.
Guideline for the Diagnosis and Treatment of Acute and Chronic heart
Failure
.
Halim, H. Penyakit-penyakit pada Pleura. In: Buku Ajar Ilmu Penyakit Dalam
Jilid III, Edisi V. 2009. p.2329-2336.
Ikatan Dokter Indonesia. 2013. Panduan Praktik Klinis bagi Dokter di
Fasilitas Pelayanan Kesehatan Primer.
Liwang, F. & Wijaya, P. Gagal Jantung. In: Kapita Selekta Kedokteran
Edisi IV Jilid II. 2014 p. 742-746. Media Aesculapius: Jakarta.
Murray JF. Pleural effusion in cardiac disease. In: Bouros D. Pleural
disease. 2nd ed. 2010. p.613-26
Patel, P.R. Lecture Notes Radiology 3rd Edition. 2010. Wiley-Blackwell
Publishing: Singapore.
Perhimpunan Dokter Spesialis Kardiovaskuler Indonesia. 2015. Pedoman
Tatalaksana Gagal Jantung Edisi Pertama.





































kereennn
ReplyDelete